Trauma -assessment and management and wound care. An overview
Introduction, the significance of trauma
Trauma is a transfer of energy to the tissues, that results in tissue damage and/or dysfunction.
Trauma is the leading cause of death in people up to 45 years of age.
Injuries can be categorized as blunt or penetrating. Blunt injury involves a forceful impact, i.e a force acting on the body causing tissue damage without the skin being pierced by an object (eg, blow, kick, strike with an object, fall, motor vehicle crash, injury due to an explosion).
Penetrating injury involves piercing the skin and underlying tissues by an object (eg, knife, broken glass, bullet), in other words, there is a penetration of tissues of the body (such as the skin and underlying tissues or organs and or bone) by an object.
Blunt trauma is much more common than penetrating trauma.
A drug allergies,
Assessment and resuscitation must often be performed simultaneously, due to the emergency of the situation, with the detection and treatment of rapidly fatal injuries, being the initial priority.
The golden hour of trauma is a short time period immediately following trauma, in which the greatest proportion of deaths occur, among patients with severe injuries. Therefore, early and rapid assessment and stabilization are necessary.
In the early, prehospital phase of management, the usual steps are the following:
►control of the airway,
►assess and ensure that there is adequate breathing and circulation (cardiopulmonary resuscitation may be needed in case of cardiac arrest),
►control of external hemorrhage,
►proper immobilization of the patient, and rapid transport to the nearest appropriate facility.
Protective measures for the trauma-care staff
All members of the trauma team should take measures to reduce the risk of occupational exposure to bloodborne diseases such as HIV and hepatitis viruses. In addition to anti-hepatitis immunization for all trauma team staff, gloves, aprons or protective gowns, and goggles (eye protection) should be worn during the assessment and treatment of the trauma patient.
The history is obtained after the first steps of the primary assessment and the first measures to stabilize the patient's condition or at the same time that the primary assessment is conducted. It is obtained from the patient as well as from emergency medical service personnel, bystanders, and family members.Focused history taking in the situation of trauma
Attempt to identify the mechanism of the injury, because this will
often predict the patterns of injury and its severity. (For example, if it was a low or high-speed motor vehicle collision, if it was a fall from a certain height, in case of an assault with what kind of object was the patient struck and on which areas of the body, etc.)
A brief medical history is obtained using the AMPLE mnemonic. Ask about :often predict the patterns of injury and its severity. (For example, if it was a low or high-speed motor vehicle collision, if it was a fall from a certain height, in case of an assault with what kind of object was the patient struck and on which areas of the body, etc.)
A drug allergies,
M current medications,
P past medical history,
L last oral intake, and
E events: The events leading to the injury and evolving symptoms (see below)
Evolving symptoms
Always ask about any evolving symptoms and about the exact locations of pain. This information will guide the physical
examination and any other necessary diagnostic tests. Examples:
Altered mental status should lead to the suspicion of traumatic brain injury, circulatory shock, or intoxication.Evolving symptoms
Always ask about any evolving symptoms and about the exact locations of pain. This information will guide the physical
examination and any other necessary diagnostic tests. Examples:
Chest pain may indicate a fracture of the ribs or sternum, hemothorax, or traumatic injury of the thoracic aorta.
Dyspnea (shortness of breath) should lead to the suspicion of pneumothorax, pericardial tamponade, or pulmonary contusion, Abdominal pain should lead to the suspicion of an intra-abdominal visceral injury until proven otherwise.
Hematemesis or rectal bleeding should also raise concerns about a probable intra-abdominal visceral injury.
Hematuria should be considered as an indication of injury to the genitourinary tract.
Neurologic symptoms, such as weakness and paresthesias may be due to an underlying injury of the spinal cord or vascular dissection.
Note:
Women of childbearing age should always be asked about the last menstrual period and assumed to be pregnant until proven otherwise (by a pregnancy test).
Primary Survey: The first few minutes of the initial evaluation of the patient, with the goal to rapidly identify any treatable life-threatening emergencies, such as airway obstruction, inadequate respiration, tension pneumothorax, open pneumothorax, flail chest, massive hemorrhage and/or signs of shock, and cardiac tamponade. The assessment must be systematic and stepwise, using the A, B, C, D, E approach. Any encountered abnormalities should be treated before proceeding to the next step.
Dyspnea (shortness of breath) should lead to the suspicion of pneumothorax, pericardial tamponade, or pulmonary contusion, Abdominal pain should lead to the suspicion of an intra-abdominal visceral injury until proven otherwise.
Hematemesis or rectal bleeding should also raise concerns about a probable intra-abdominal visceral injury.
Hematuria should be considered as an indication of injury to the genitourinary tract.
Neurologic symptoms, such as weakness and paresthesias may be due to an underlying injury of the spinal cord or vascular dissection.
Note:
Women of childbearing age should always be asked about the last menstrual period and assumed to be pregnant until proven otherwise (by a pregnancy test).
Assessment of the patient with trauma
The ABCDE mnemonic:
[ The respiratory rate is determined by counting how many times the chest rises per minute. Normal limits are approximate: The Normal respiratory rate at rest for adults is 12-18/ minute. In children normal respiratory rate is higher: 0-5 months 25-50/min, 6 months- 5years 20-30/min, 6-12 years 12-20/min, older children approximately like adults].
https://en.wikipedia.org/wiki/Chest_injury#/media/File:Pulmonary_contusion.jpg
penetrating injury. All 4 abdominal quadrants should be palpated to assess for tenderness, guarding, or rebound.
The pelvis should be carefully assessed by gently compressing the
iliac crests to identify signs of an unstable pelvic fracture.
Blood samples should be taken for full blood count, urea, creatinine and electrolytes, and the rest of the usual biochemical tests, clotting screen, and a blood group and cross-match. Urinalysis will show if there is hematuria (blood in the urine, suggestive of trauma to the urinary tract).
Remove tissue that is not viable but preserve viable tissue
Restore tissue continuity and function
Prevent excessive inflammation and avoid infection
Minimize scar formation
Provide suitable anesthesia or analgesia during wound treatment
The age of the wound and early wound cleaning is important. A delay in wound cleaning may allow bacteria contaminating the wound to proliferate. A delay of only a few hours in the treatment of a heavily contaminated wound can lead to an increased risk for infection..
The maximum time after an injury that a wound may be closed safely without significant risk for infection for most wounds that are not grossly contaminated is about 6 to 8 hours after injury ( if the wound can be adequately cleaned), but wounds in highly vascular regions such as the scalp and the face can be closed without increased risk for 24 hours after the injury.
Moreover, the technique of wound treatment may extend the period, in which wound closure is safe. In many cases, with skillful cleaning and debridement, a contaminated wound can be converted to a clean wound that can be safely closed.
Healing of a wound by first intention (primary closure) means healing with the edges of the wound being brought together with sutures or other means.
Healing of a wound by second intention (secondary closure) means that a wound is left to heal on its own without bringing the edges together and this happens more gradually and slowly via scar formation and contraction of the area. This method of healing (wound cleaning and leaving the wound to close slowly without bringing its edges together) is used in highly contaminated or infected wounds.
Another healing method is delayed primary (or tertiary) closure , where the wound after cleaning is left open for a period of 4 to 5 days after which it is closed if no infection supervenes. This is used for contaminated wounds or wounds with a high risk of contamination.
The nature of the injury, and when and where it happened
The possibility of a foreign body
Current medical problems and drug therapy
Tetanus immunization status.
• A-airway maintenance with stabilization of the cervical spine
• B-breathing and ventilation
• C-circulation and hemorrhage control
• D-assessment of disability/neurological status
• E-exposure/environmental control/ preventing hypothermia
Airway and the trauma patient
The airway must be assessed and maintained patent while the cervical spine is immobilized. You should assume that any patient who has suffered a significant blunt injury may also have a cervical spine injury. Therefore, manual in-line immobilization of the cervical spine or full immobilization using a semi-rigid collar, head blocks and tape is necessary. An exception to this is the very restless and combative patient where forceful immobilization attempts might cause further damage to the spine. In this situation, the priority usually is to identify and treat the underlying cause of restlessness, for example, hypoxia or head injury.Signs suggesting the risk of potential airway compromise include:
stridulous or gurgling respirations
stridulous or gurgling respirations
pooling pharyngeal secretions
blood in the oropharynx
foreign bodies in the oral cavity
foreign bodies in the oral cavity
oropharyngeal burns
significant midface, mandibular, and laryngeal fractures
expanding neck hematomas
obtundation (unconsciousness) which may cause soft-tissue laxity and posterior retraction of the tongue, occluding the airway. A reduced level of consciousness may be due to head injury, shock, or intoxication)
Initially, talk to the patient to elicit a response. If the patient can speak clearly in full sentences this confirms that the airway probably is not in immediate danger.
Blood, secretions and foreign material are removed from the oropharynx by suction or manually. Blood or secretions should be removed with gentle suction using a rigid suction catheter. Avoid inserting the tip of the suction catheter too deeply because this may stimulate the patient’s gag reflex resulting in vomiting. Avoid blind finger sweeps to remove foreign bodies because this may push them further into the airway. Magill forceps can be used to remove solid foreign bodies.
Generally, the airway can be opened using the head tilt-chin lift or jaw-thrust maneuver. Importantly, the head tilt-chin lift maneuver should not be performed in trauma patients, if the possibility of cervical spine injury cannot be excluded (especially in patients with a head injury, a neck injury or neck pain, multiple injuries or severe blunt trauma and fall). In the presence of an injury of the cervical spine this maneuver because it may cause permanent neurological injury. A fracture of the cervical spine can be dislocated by this maneuver and this can cause spinal cord injury and tetraplegia or quadriplegia, a term referring to four limb paralysis (loss of movement and/or sensation). Thus, a jaw thrust maneuver should be used to open the airway, with caution not to move the cervical spine. A general rule is that when evaluating or manipulating a patient’s airway, cervical spine immobilization should be maintained.
If a jaw thrust maneuver was needed to open the airway then the next step is to ensure that airway patency is maintained: An oropharyngeal or nasopharyngeal airway is useful to maintain a patent airway in a patient with impaired consciousness. The oropharyngeal airway is used only in unconscious patients without a gag reflex, because otherwise, it may induce vomiting. A nasopharyngeal tube can be used in semiconscious patients with an intact gag reflex. For more details about the techniques of the jaw thrust maneuver, the placement of an oropharyngeal or nasopharyngeal airway, as well as for the technique of endotracheal intubation see chapter Emergency airway management and ventilation procedures.
If these measures fail to achieve proper airway management endotracheal intubation, cricothyroidotomy (surgical or percutaneous), or tracheostomy should be considered.
Generally, the airway can be opened using the head tilt-chin lift or jaw-thrust maneuver. Importantly, the head tilt-chin lift maneuver should not be performed in trauma patients, if the possibility of cervical spine injury cannot be excluded (especially in patients with a head injury, a neck injury or neck pain, multiple injuries or severe blunt trauma and fall). In the presence of an injury of the cervical spine this maneuver because it may cause permanent neurological injury. A fracture of the cervical spine can be dislocated by this maneuver and this can cause spinal cord injury and tetraplegia or quadriplegia, a term referring to four limb paralysis (loss of movement and/or sensation). Thus, a jaw thrust maneuver should be used to open the airway, with caution not to move the cervical spine. A general rule is that when evaluating or manipulating a patient’s airway, cervical spine immobilization should be maintained.
If a jaw thrust maneuver was needed to open the airway then the next step is to ensure that airway patency is maintained: An oropharyngeal or nasopharyngeal airway is useful to maintain a patent airway in a patient with impaired consciousness. The oropharyngeal airway is used only in unconscious patients without a gag reflex, because otherwise, it may induce vomiting. A nasopharyngeal tube can be used in semiconscious patients with an intact gag reflex. For more details about the techniques of the jaw thrust maneuver, the placement of an oropharyngeal or nasopharyngeal airway, as well as for the technique of endotracheal intubation see chapter Emergency airway management and ventilation procedures.
If these measures fail to achieve proper airway management endotracheal intubation, cricothyroidotomy (surgical or percutaneous), or tracheostomy should be considered.
The best airway management for an unconscious patient is endotracheal intubation but it requires a well-trained rescuer. Endotracheal intubation is also the best method when there is a need to secure the airway in a patient with a neck injury.
Endotracheal intubation is required for:
Obtunded patients whose airway patency, airway protective mechanisms, or ventilation is in doubt
Head injury with Glasgow Coma Scale <8
Penetrating injury to the cranial vault
Patients with significant oropharyngeal injury
Neck injury: Blunt neck injury with expanding hematoma, painful phonation or voice alteration or penetrating neck injury
Patients with injuries causing severe or worsening deterioration of the respiratory status. Such injuries may include flail chest or severe pulmonary contusion.
Bilateral missile penetrating injuries of the thorax
Severe or persistent shock
Burns when there is severe involvement of the face or neck, Also in cases of severe extensive burns.
Usually, before intubation drugs are administered to induce unconsciousness and paralysis.
Cricothyroidotomy (surgical or percutaneous), or tracheostomy is used when unable to intubate the airway.
As a general rule, give supplemental oxygen to every severe trauma patient, because adequate oxygenation has a significant effect on the outcome of many trauma patients. Patients with shock need supplemental oxygen because due to the diminished cardiac output there is inadequate delivery of oxygen to the tissues.
As a general rule, give supplemental oxygen to every severe trauma patient, because adequate oxygenation has a significant effect on the outcome of many trauma patients. Patients with shock need supplemental oxygen because due to the diminished cardiac output there is inadequate delivery of oxygen to the tissues.
Breathing and Ventilation of the trauma patient
Determine the rate and depth of respirations. Look for symmetrical rise and fall of the chest and if there is adequate chest wall excursion with respiratory movements.[ The respiratory rate is determined by counting how many times the chest rises per minute. Normal limits are approximate: The Normal respiratory rate at rest for adults is 12-18/ minute. In children normal respiratory rate is higher: 0-5 months 25-50/min, 6 months- 5years 20-30/min, 6-12 years 12-20/min, older children approximately like adults].
Inspect, auscultate, and palpate the chest. Inspect and palpate the neck for tracheal deviation. Auscultate the chest bilaterally.This will enable you to assess if there is adequate ventilation and identify and treat injuries that can rapidly impair ventilation, such as a tension, or an open pneumothorax, flail chest and pulmonary contusion, or a massive hemothorax. Percuss the chest for the presence of dullness or hyperresonance. Both pneumothorax (presence of air in the pleural space) and hemothorax (presence of blood in the pleural space) can present with dyspnea (shortness of breath), chest pain and decreased breath sounds on auscultation. However, percussion of the chest will reveal hyperresonance on the ipsilateral lung in pneumothorax, whereas in hemothorax it will reveal dullness. A large pneumothorax or hemothorax will require management with tube thoracostomy.
A pulmonary contusion is an interstitial and alveolar lung injury without any laceration. It usually occurs in the most peripheral areas of the lung, often accompanying rib fractures. A lung contusion is usually secondary to nonpenetrating (blunt) trauma. The chest radiograph may initially be normal, but over the first day following trauma, ill-defined consolidation (areas of opacification of the lung parenchyma) develop. Radiographic clearing of a pulmonary contusion is usually relatively rapid (within 2-10 days), as the blood in the alveolar spaces is absorbed. On the contrary, if the consolidation progresses within a period of a few days, then superimposed atelectasis aspiration, or infection should be suspected.
A pulmonary contusion is an interstitial and alveolar lung injury without any laceration. It usually occurs in the most peripheral areas of the lung, often accompanying rib fractures. A lung contusion is usually secondary to nonpenetrating (blunt) trauma. The chest radiograph may initially be normal, but over the first day following trauma, ill-defined consolidation (areas of opacification of the lung parenchyma) develop. Radiographic clearing of a pulmonary contusion is usually relatively rapid (within 2-10 days), as the blood in the alveolar spaces is absorbed. On the contrary, if the consolidation progresses within a period of a few days, then superimposed atelectasis aspiration, or infection should be suspected.
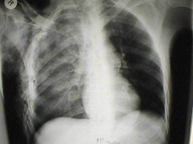
A patient with chest trauma. What radiographic abnormalities can be seen in this supine chest X ray?
A contusion of the left lung (diffuse consolidation with not clearly defined borders), rib fractures and subcutaneous emphysema (air in the subcutaneous tissue appearing as black areas)
Image from theWikipedia.org (Karim) https://en.wikipedia.org/wiki/Chest_injury#/media/File:Pulmonary_contusion.jpg
Tension pneumothorax
The worst form of pneumothorax is tension pneumothorax, caused by one-way communication from the lung parenchyma into the pleural cavity, allowing air to enter the pleural space but not to exit from this space. Air in the pleural space progressively increases compressing the hemithorax, causing shifting of the mediastinum, compression of the vena cavae with obstruction of venous return, and decreased cardiac output. This results in severe dyspnea, hypotension, distended neck veins, diminished, or absent breath sounds and hyperexpansion of the chest wall on the affected side and deviation of the trachea to the opposite side. In such a case do not wait for X-ray confirmation, because probably you will lose the patient. Perform immediate decompression by placing a 14-G venous catheter in the second intercostal space at the midclavicular line.Flail chest
Flail chest is the paradoxical movement of a segment of the chest wall caused by fractures in more than one location
on each of three or more adjacent ribs. Variations include posterior flail segments, anterior flail segments, and a flail segment including the sternum with ribs on both sides of the thorax fractured. The paradoxical movement of the flail segment means that it is discordant with the movement of the rest of the chest. It moves in with inspiration and out with expiration, in contrast to the rest of the chest wall. Flail chest is often associated with severe chest pain tachypnea and hypoxia. The severity of respiratory insufficiency varies. Some patients demonstrate only the paradoxical chest wall motion, and may have minimal respiratory insufficiency, whereas others have severe respiratory insufficiency. The severity of respiratory dysfunction is mainly related to the severity of the underlying lung injury (lung contusion), although it is also related to a lesser degree to a reduction in tidal volume. The reduction in tidal volume is the result of fracture pain which causes a reduction in respiratory chest movement, and of the paradoxical chest wall motion which reduces the effectiveness of respiratory movements. There is also a risk of later development of respiratory fatigue because the decreased mechanical efficiency of the chest wall movement results in increased work of breathing. Treatment in cases of flail chest includes adequate analgesia (in order to allow the patient to perform more effective respiratory movements and expand the underlying lung), coughing and chest physiotherapy, and preventing fluid overload, which can aggravate lung edema. Do not wrap the chest, because this can inhibit chest expansion. In severe cases, intubation and mechanical ventilation is needed and this can offer a significant reduction in mortality. Intubation and ventilation usually will be necessary for patients with underlying pulmonary disease, age >65 years,
eight or more rib fractures, arterial Pa O 2 <80 mmHg on supplemental O 2 . shock, or severe head injury. ( Note: The arterial PaO2 is the partial pressure of oxygen in the arterial blood, ie the pressure exerted by this particular gas. It is actually a measure of the oxygen content of the arterial blood).
When there are indications of trauma of the respiratory system and in every case with severe injuries, or impaired consciousness attach a pulse oximeter to the patient.
Evaluate the circulatory status: palpate the pulse of carotid, femoral, or radial artery (the first two arteries, being larger, are preferred for the palpation of the pulse in emergency situations), notice skin color, capillary refill, the temperature of the extremities.
Capillary refill time is examined by applying pressure to the patient’s nailbed, sternum, or forehead for two seconds. Normally the skin color should return to normal within two seconds. In the trauma patient, a delayed capillary refill time of > 2 seconds suggests hypovolaemic shock.
Circulation and control of hemorrhage
Evaluate the circulatory status: palpate the pulse of carotid, femoral, or radial artery (the first two arteries, being larger, are preferred for the palpation of the pulse in emergency situations), notice skin color, capillary refill, the temperature of the extremities.
Generally, cool, pale skin or extremities with delayed capillary refill are suggestive of inadequate perfusion and shock.
Circulatory shock is a usual serious complication of major trauma. Shock is defined as a situation, in which blood perfusion (and consequently oxygen transfer) to the various organs and tissues is inadequate to meet their metabolic needs. In the trauma patient, shock most commonly results from internal or external hemorrhage (blood loss). Shock is a usual cause of death of trauma patients.
In cases of blunt trauma where superficial injury may be minor (for example a small bruise), if you observe symptoms or signs of shock then suspect a serious internal injury. Shock can produce symptoms due to reduced perfusion of the brain, such as anxiety, agitation, confusion, sensation of impending doom, nausea, thirst ( the thirst center of the brain is stimulated in response to the reduced intravascular volume) and signs indicative of diminished cardiac output, diminished peripheral perfusion and stimulation of the sympathetic nervous system. Such signs are the following:
Pulse weak (of low volume) and rapid (tachycardia),
Blood pressure: low or falling from its previous value,
Skin and general appearance: perspiration (sweaty skin), pale and cool skin (because of reduced peripheral perfusion and sympathetic stimulation, which results in sweating and peripheral vasoconstriction), often dilated pupils (due to sympathetic stimulation)
Breathing: it is often rapid and shallow
Urine output: diminished, due to reduced renal perfusion ( Insert a Foley catheter to a patient with signs of severe trauma, to measure urine output)
Control any major external hemorrhage using a bandage and direct pressure on the site and if possible, elevation of the site of injury above the level of the heart. Bandages that become soaked with blood are not removed, but reinforced with further gauze. Tourniquets are only placed in cases of life-threatening hemorrhage of a limb, when it cannot be controlled with continuous direct pressure, elevation, and bandaging.
Place one, or preferably two large-bore (14 or 16 G) intravenous catheters in peripheral veins, usually in veins of the forearm (antebrachium), or the cubital fossa (elbow pit), such as the cephalic or the basilic vein, or their branches. (The basilic vein is located medially and the cephalic vein laterally). Simultaneously obtain blood for hematologic and biochemical analyses, pregnancy
test (when appropriate/ a positive pregnancy test can influence
the selection of medication and the use of radiographic studies ), type and cross-match (because a patient with severe trauma often will require a blood transfusion in case of severe hemorrhage or a surgical operation).
Large-bore intravenous catheter(s) will enable rapid intravenous (IV) fluid administration in a case of volume depletion, as a result of external or internal hemorrhage. Fluid therapy should be initiated with 1- 2 liters of an isotonic crystalloid solution (lactated Ringer’s or normal saline). In pediatric patients, an IV bolus (rapid infusion) of 20 ml/kg is initially administered.
Circulatory shock is a usual serious complication of major trauma. Shock is defined as a situation, in which blood perfusion (and consequently oxygen transfer) to the various organs and tissues is inadequate to meet their metabolic needs. In the trauma patient, shock most commonly results from internal or external hemorrhage (blood loss). Shock is a usual cause of death of trauma patients.
In cases of blunt trauma where superficial injury may be minor (for example a small bruise), if you observe symptoms or signs of shock then suspect a serious internal injury. Shock can produce symptoms due to reduced perfusion of the brain, such as anxiety, agitation, confusion, sensation of impending doom, nausea, thirst ( the thirst center of the brain is stimulated in response to the reduced intravascular volume) and signs indicative of diminished cardiac output, diminished peripheral perfusion and stimulation of the sympathetic nervous system. Such signs are the following:
Pulse weak (of low volume) and rapid (tachycardia),
Blood pressure: low or falling from its previous value,
Skin and general appearance: perspiration (sweaty skin), pale and cool skin (because of reduced peripheral perfusion and sympathetic stimulation, which results in sweating and peripheral vasoconstriction), often dilated pupils (due to sympathetic stimulation)
Breathing: it is often rapid and shallow
Urine output: diminished, due to reduced renal perfusion ( Insert a Foley catheter to a patient with signs of severe trauma, to measure urine output)
Control any major external hemorrhage using a bandage and direct pressure on the site and if possible, elevation of the site of injury above the level of the heart. Bandages that become soaked with blood are not removed, but reinforced with further gauze. Tourniquets are only placed in cases of life-threatening hemorrhage of a limb, when it cannot be controlled with continuous direct pressure, elevation, and bandaging.
Place one, or preferably two large-bore (14 or 16 G) intravenous catheters in peripheral veins, usually in veins of the forearm (antebrachium), or the cubital fossa (elbow pit), such as the cephalic or the basilic vein, or their branches. (The basilic vein is located medially and the cephalic vein laterally). Simultaneously obtain blood for hematologic and biochemical analyses, pregnancy
test (when appropriate/ a positive pregnancy test can influence
the selection of medication and the use of radiographic studies ), type and cross-match (because a patient with severe trauma often will require a blood transfusion in case of severe hemorrhage or a surgical operation).
Large-bore intravenous catheter(s) will enable rapid intravenous (IV) fluid administration in a case of volume depletion, as a result of external or internal hemorrhage. Fluid therapy should be initiated with 1- 2 liters of an isotonic crystalloid solution (lactated Ringer’s or normal saline). In pediatric patients, an IV bolus (rapid infusion) of 20 ml/kg is initially administered.
Pericardial tamponade is the rapid accumulation of pericardial fluid (in the case of an injury the fluid consists of blood) causing a markedly increased intrapericardial pressure which results in the compression of the heart chambers. This condition reduces diastolic filling of the ventricles. In a patient with chest injury, suspect pericardial tamponade in the setting of hypotension, tachycardia, dyspnea, and jugular venous distention. These are also features of a tension pneumothorax. The presence of severely diminished or absent breath sounds (auscultation) and hyperresonance (percussion) on one hemithorax suggests the diagnosis of pneumothorax, whereas in cardiac tamponade, breath sounds are not diminished but heart sounds are of low intensity (muffled heart sounds), the pulse pressure (systolic minus diastolic pressure) is diminished, auscultation of the lungs is usually normal, and a fast echocardiogram will show pericardial fluid compressing the heart (especially the right ventricle and right atrium). Pericardial tamponade will require pericardiocentesis and/or emergency surgery.
Assessment of disability of the trauma patient (rapid neurologic examination/Glasgow Coma Scale)
Conduct a rapid neurologic exam, check pupillary size and reactivity, level of consciousness using Glasgow Coma Scale, and motor function of the 4 limbs. Examine gross motor movement and sensation in each extremity to screen for serious spinal cord injury. Palpate the cervical spine for tenderness and deformity and stabilize it with a rigid collar until cervical spine injury is excluded. Perform a rapid neurologic evaluation to assess the patient’s level of consciousness.
The Glasgow Coma Scale (GCS) is used to evaluate the patient's level of consciousness: possible scores range from 3 (no response) to 15 (high response on all measures). The GCS evaluates three attributes: eye-opening, verbal response, and best motor response (see below). When there is right/left or upper/lower asymmetry, use the best motor response to calculate the score. Despite the fact that drug and alcohol abuse is present in a significant number of trauma patients, it is preferable to suspect that patients with a GCS score of less than 15 and an appropriate mechanism of trauma have a head injury, until proven otherwise. The GCS can be used to determine the severity of a head injury (minor injury GCS 13-15, moderate injury GCS 9 - 12, severe injury-coma GCS 3 - 8). This can also determine how urgently a CT scan must be obtained.
Here is a description of the Glasgow Coma Scale GCS:
Eye opening score
spontaneous 4
to voice 3
to painful stimuli 2
never 1
Verbal response (speech) score
oriented 5
confused 4
inappropriate words 3
unintelligible sounds 2
none 1
Motor response score
follows commands 6
localizes pain 5
withdrows from pain 4
flexor response 3
extensor response 2
none 1
Systolic blood pressure, <100 mm Hg in an adult or
Respiratory rate, <10 or >29/min ( or <20 in an infant less than 1 year)
Here is a description of the Glasgow Coma Scale GCS:
Eye opening score
spontaneous 4
to voice 3
to painful stimuli 2
never 1
Verbal response (speech) score
oriented 5
confused 4
inappropriate words 3
unintelligible sounds 2
none 1
Motor response score
follows commands 6
localizes pain 5
withdrows from pain 4
flexor response 3
extensor response 2
none 1
Some "red flags" in trauma (signs raising suspicion of a serious situation, i e an emergency):
Glasgow Coma Scale <14 orSystolic blood pressure, <100 mm Hg in an adult or
Respiratory rate, <10 or >29/min ( or <20 in an infant less than 1 year)
A hemoglobin oxygen saturation SpO2< 90 % (measured with a pulse oximeter).
Flail chest
Signs of a serious injury of the central nervous system, such as an open or depressed skull fracture, or paralysis
All penetrating injuries to the head, neck, torso, and extremities proximal to the elbow and knee
Fractures having the potential of serious hemorrhage in the surrounding tissues, such as, two or more proximal long-bone fractures, or pelvic fractures
A crushed, degloved, or mangled extremity
Amputation proximal to wrist and ankle
All patients with any of the above characteristics should be considered as seriously injured. They require every possible effort for their rapid stabilization and rapid transfer to a center capable of the highest level of care available.
Undress the patient completely, to inspect for injuries to the torso and extremities and hook up monitors (cardiac, pulse oximetry, blood pressure, etc.). Look under collars and splints, in the axilla, and under skin folds.
Inspect the abdomen for any signs of distention, contusions, orFlail chest
Signs of a serious injury of the central nervous system, such as an open or depressed skull fracture, or paralysis
All penetrating injuries to the head, neck, torso, and extremities proximal to the elbow and knee
Fractures having the potential of serious hemorrhage in the surrounding tissues, such as, two or more proximal long-bone fractures, or pelvic fractures
A crushed, degloved, or mangled extremity
Amputation proximal to wrist and ankle
All patients with any of the above characteristics should be considered as seriously injured. They require every possible effort for their rapid stabilization and rapid transfer to a center capable of the highest level of care available.
Exposure/Environment/Extras
Undress the patient completely, to inspect for injuries to the torso and extremities and hook up monitors (cardiac, pulse oximetry, blood pressure, etc.). Look under collars and splints, in the axilla, and under skin folds.penetrating injury. All 4 abdominal quadrants should be palpated to assess for tenderness, guarding, or rebound.
The pelvis should be carefully assessed by gently compressing the
iliac crests to identify signs of an unstable pelvic fracture.
With careful manual stabilization of the head and neck, roll the patient carefully onto a side, avoiding to move the spine, to examine the back and buttocks. Carefully palpate the spine for signs suggestive of injury, such as spine tenderness and deformity. Identify and treat any sites of active bleeding. An incomplete exposure of the patient may result in missing a significant injury, such as a gunshot or stab wound.
During exposure of the patient also take the appropriate measures to avoid hypothermia (Cover the patient with a warm blanket or use an external warming device, in case of a cold environment). Check a core temperature. Hypothermia can enhance bleeding (because the clotting mechanism requires the function of enzymes, which diminishes in case of reduced body temperature) and can also cause cardiac arrhythmias.
Additional necessary steps include the administration of adequate analgesia and splinting of extremity injuries.
Laboratory and radiological examinations:
In all multiply injured patients chest X-ray (CXR), cervical spine radiography and pelvic X-ray are usually necessary. For patients after severe multiple blunt trauma, computed tomography (CT) of the chest, abdomen, pelvis, spine, or head, or combinations of these studies are frequently required, depending on the regions and the mechanism of injury.
Bedside ultrasonography is useful for patients with thoracic or abdominal trauma. This test is also known by the term E-FAST (extended focused assessment with sonography in trauma), It is a quick, non-invasive, sensitive, and readily repeatable imaging modality to detect internal hemorrhage. It can identify signs of hemopericardium, pericardial tamponade, pneumothorax, hemothorax, and intraperitoneal bleeding. The presence of a significant volume of intraperitoneal blood is an indication for immediate laparotomy.
Wound care
The primary objectives in wound care are to:Remove tissue that is not viable but preserve viable tissue
Restore tissue continuity and function
Prevent excessive inflammation and avoid infection
Minimize scar formation
Provide suitable anesthesia or analgesia during wound treatment
The age of the wound and early wound cleaning is important. A delay in wound cleaning may allow bacteria contaminating the wound to proliferate. A delay of only a few hours in the treatment of a heavily contaminated wound can lead to an increased risk for infection..
The maximum time after an injury that a wound may be closed safely without significant risk for infection for most wounds that are not grossly contaminated is about 6 to 8 hours after injury ( if the wound can be adequately cleaned), but wounds in highly vascular regions such as the scalp and the face can be closed without increased risk for 24 hours after the injury.
Moreover, the technique of wound treatment may extend the period, in which wound closure is safe. In many cases, with skillful cleaning and debridement, a contaminated wound can be converted to a clean wound that can be safely closed.
Healing of a wound by first intention (primary closure) means healing with the edges of the wound being brought together with sutures or other means.
Healing of a wound by second intention (secondary closure) means that a wound is left to heal on its own without bringing the edges together and this happens more gradually and slowly via scar formation and contraction of the area. This method of healing (wound cleaning and leaving the wound to close slowly without bringing its edges together) is used in highly contaminated or infected wounds.
Another healing method is delayed primary (or tertiary) closure , where the wound after cleaning is left open for a period of 4 to 5 days after which it is closed if no infection supervenes. This is used for contaminated wounds or wounds with a high risk of contamination.
Assessment of the patient with a soft tissue injury and wound care
Obtain a history of:The nature of the injury, and when and where it happened
The possibility of a foreign body
Current medical problems and drug therapy
Tetanus immunization status.
Antibiotic allergy
Examine nerves and tendons for evidence of damage. Check motor function and peripheral perfusion. This must be done before infiltration with a local anesthetic. If there is a suspicion of a radio-opaque foreign body (metal or glass) the patient must be sent for X-rays before the exploration of the wound.
During assessment and management of the wound:
The patient should have lied down because fainting is common.
Wash hands thoroughly, wear sterile gloves, and prepare a sterile field. Initially, scrub a wide area of skin surrounding the wound with an antiseptic solution to remove contaminants that can be transferred into the wound by instruments, sutures, or gloves during wound management. Remove all the dirt and debris from the wound and from the area around its edges by using normal saline or a disinfectant, e.g. chlorhexidine with gentle swabbing. There are two techniques to clean a wound: irrigation and compression or swabbing. Irrigation involves a flow of solution (normal saline or tap water) on the wound with pressure by using a syringe with a needle (the needle is useful in order to have a pressure jet of fluid). Compression involves gently pressing a premoistened gauze to the wound to remove surface debris. If necessary, this can be followed by gentle scrubbing with a gauge moistened with normal saline or an antiseptic solution.
Trim adjacent hair for 1-2 mm if necessary, but never shave the
eyebrows, because they may not grow again.
Infiltrate 1% lidocaine along the edge of the wound with a 25-gauge (orange) needle.
In the case of a digital nerve ring block, 2% lidocaine without adrenaline is used.
For the closure of a laceration usually interrupted non-absorbable sutures are used. Interrupted sutures are placed starting in the middle of the wound and then in the middle of the remaining distance each time. Suturing must achieve the approximation of the wound edges without being too tight (because in that case, it causes local ischemia of the tissues). Examples of non-absorbable sutures are nylon (Ethilon, Dermalon), polypropylen (Prolene, Surgipro), polybutester (Novafil), and silk.
A fine-toothed Adson forceps is used to evert the skin. The needle is passed perpendicular to the skin through its full thickness and then to the other side of the wound, (from deep to surface) using the forceps for counter pressure so that it passes perpendicular to the skin on its way out. The knot is tied so, that the skin edges are just in apposition.
For the face use sutures No 5/0 or 6/0, for the hand 4/0 or 5/0, for the trunk 2/0 to 4/0 (the number marks the thickness of the sutures, eg 2/0 is thicker than 3/0 and 3/0 thicker than 4/0 etc).
If the trauma is deep and especially if there is tension, deep absorbable sutures such as polyglycolic acid (Dexon) polydioxanone (PDS), or polyglactin (Vicryl, Lactomer) are placed, to first close the deep layer (the fascia and subcutaneous layers) with the knot buried at the depth of the wound. The technique for the placement of these deep dermal sutures is the following: Use the forceps to evert the skin and pass the needle from deep to superficial on the dermal surface of the wound. Pass the needle to the other side of the wound from superficial to deep within the dermis and then tie a knot. The knot should be buried deep in the wound.Then, non-absorbable sutures such as nylon, or polypropylene or silk are placed, to close the superficial layer of the wound (the skin).
How to place deep sutures
DIAGRAM BY RILEY GROSSO, MD. THIS WORK IS LICENSED UNDER A CREATIVE COMMONS ATTRIBUTION-NONCOMMERCIAL-SHAREALIKE 4.0 INTERNATIONAL LICENSE.http://www.tamingthesru.com/blog/annals-of-b-pod/closing-the-gap-deep-sutures
www.tamingthesru.com
Tape, such as Steri-strips is used only for the closure of superficial, straight lacerations under little tension.
Examine nerves and tendons for evidence of damage. Check motor function and peripheral perfusion. This must be done before infiltration with a local anesthetic. If there is a suspicion of a radio-opaque foreign body (metal or glass) the patient must be sent for X-rays before the exploration of the wound.
During assessment and management of the wound:
The patient should have lied down because fainting is common.
Wash hands thoroughly, wear sterile gloves, and prepare a sterile field. Initially, scrub a wide area of skin surrounding the wound with an antiseptic solution to remove contaminants that can be transferred into the wound by instruments, sutures, or gloves during wound management. Remove all the dirt and debris from the wound and from the area around its edges by using normal saline or a disinfectant, e.g. chlorhexidine with gentle swabbing. There are two techniques to clean a wound: irrigation and compression or swabbing. Irrigation involves a flow of solution (normal saline or tap water) on the wound with pressure by using a syringe with a needle (the needle is useful in order to have a pressure jet of fluid). Compression involves gently pressing a premoistened gauze to the wound to remove surface debris. If necessary, this can be followed by gentle scrubbing with a gauge moistened with normal saline or an antiseptic solution.
Trim adjacent hair for 1-2 mm if necessary, but never shave the
eyebrows, because they may not grow again.
Infiltrate 1% lidocaine along the edge of the wound with a 25-gauge (orange) needle.
In the case of a digital nerve ring block, 2% lidocaine without adrenaline is used.
For the closure of a laceration usually interrupted non-absorbable sutures are used. Interrupted sutures are placed starting in the middle of the wound and then in the middle of the remaining distance each time. Suturing must achieve the approximation of the wound edges without being too tight (because in that case, it causes local ischemia of the tissues). Examples of non-absorbable sutures are nylon (Ethilon, Dermalon), polypropylen (Prolene, Surgipro), polybutester (Novafil), and silk.
A fine-toothed Adson forceps is used to evert the skin. The needle is passed perpendicular to the skin through its full thickness and then to the other side of the wound, (from deep to surface) using the forceps for counter pressure so that it passes perpendicular to the skin on its way out. The knot is tied so, that the skin edges are just in apposition.
For the face use sutures No 5/0 or 6/0, for the hand 4/0 or 5/0, for the trunk 2/0 to 4/0 (the number marks the thickness of the sutures, eg 2/0 is thicker than 3/0 and 3/0 thicker than 4/0 etc).
If the trauma is deep and especially if there is tension, deep absorbable sutures such as polyglycolic acid (Dexon) polydioxanone (PDS), or polyglactin (Vicryl, Lactomer) are placed, to first close the deep layer (the fascia and subcutaneous layers) with the knot buried at the depth of the wound. The technique for the placement of these deep dermal sutures is the following: Use the forceps to evert the skin and pass the needle from deep to superficial on the dermal surface of the wound. Pass the needle to the other side of the wound from superficial to deep within the dermis and then tie a knot. The knot should be buried deep in the wound.Then, non-absorbable sutures such as nylon, or polypropylene or silk are placed, to close the superficial layer of the wound (the skin).
How to place deep sutures
www.tamingthesru.com
Tape, such as Steri-strips is used only for the closure of superficial, straight lacerations under little tension.
Usual time of suture removal
face: 4-5 days
scalp: 5-7 days
trunk: 7-10 days
arm or leg: 7-10 days
foot: 14 days
These numbers are for a low tension wound closure. For a high-tension wound, sutures should be removed after longer time intervals.
The site is still under continuous development. Content is gradually expanding
GO BACK TO THE TABLE OF CONTENTS
LINK: Emergency medicine book-Table of contents
LINKS AND BIBLIOGRAPHY
ATLS 9th edition (slide share)
Chat V Dang, MD. The Polytraumatized Patient (Medscape)
Gebhard F, Huber-Lang M. Polytrauma-pathophysiology and management principles. Langenbecks Arch Surg. 2008;393:825-831.
Early management of the severely injured major trauma patient.Br J Anaesth. 2014 Aug;113:234-41. doi: 10.1093/bja/aeu235. McCullough AL, Haycock JC, Forward DP2, Moran CG.
Jain V, Chari R, et al Guidelines for the Management of a Pregnant Trauma Patient. J Obstet Gynaecol Can 2015;37:553–571
LINK
http://www.jogc.com/article/S1701-2163(15)30232-2/pdf
Emergency intubation for acutely ill and injured patients. Lecky F, Bryden D, Little R, Tong N, Moulton C.
WOUND MANAGEMENT (a power point presentation by Dr.
Sumer Yadav )
WOUND CARE (a power point presentation by Dr. Kawair.)
I recommend these two videos :
https://www.youtube.com/watch?v=rx9AAug7g6s
https://www.youtube.com/watch?v=ZcQKD2F19wM
face: 4-5 days
scalp: 5-7 days
trunk: 7-10 days
arm or leg: 7-10 days
foot: 14 days
These numbers are for a low tension wound closure. For a high-tension wound, sutures should be removed after longer time intervals.
The site is still under continuous development. Content is gradually expanding
GO BACK TO THE TABLE OF CONTENTS
LINK: Emergency medicine book-Table of contents
LINKS AND BIBLIOGRAPHY
ATLS 9th edition (slide share)
Chat V Dang, MD. The Polytraumatized Patient (Medscape)
Gebhard F, Huber-Lang M. Polytrauma-pathophysiology and management principles. Langenbecks Arch Surg. 2008;393:825-831.
Early management of the severely injured major trauma patient.Br J Anaesth. 2014 Aug;113:234-41. doi: 10.1093/bja/aeu235. McCullough AL, Haycock JC, Forward DP2, Moran CG.
Jain V, Chari R, et al Guidelines for the Management of a Pregnant Trauma Patient. J Obstet Gynaecol Can 2015;37:553–571
LINK
http://www.jogc.com/article/S1701-2163(15)30232-2/pdf
Emergency intubation for acutely ill and injured patients. Lecky F, Bryden D, Little R, Tong N, Moulton C.
WOUND MANAGEMENT (a power point presentation by Dr.
Sumer Yadav )
WOUND CARE (a power point presentation by Dr. Kawair.)
I recommend these two videos :
https://www.youtube.com/watch?v=rx9AAug7g6s
https://www.youtube.com/watch?v=ZcQKD2F19wM


No comments:
Post a Comment